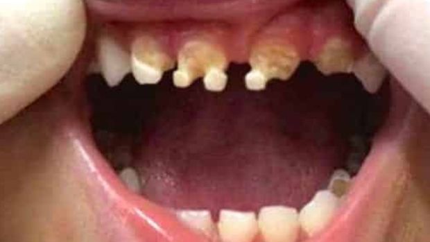
Los dientes de este pequeño están en un horrible estado. Lamentablemente, esta circunstancia es muy corriente en USA y en Nueva Zelanda, donde la consumición de bebidas azucaradas de parte de los jovenes ha incrementado en exceso.
Las bebidas azucaradas a juicio
Es complicado creer estas imágenes, pero son muy reales. Los azúcares atacan a los dientes de manera despiadado e irreversible.
Este pequeño solo había estado tomando bebidas azucaradas desde que poseía la edad bastante para tomar leche. No bebía completamente nada más. Esto tuvo secuelas nefastas para su salud y no solo en sus dientes.
El azúcar en las bebidas apoya la erosión de los dientes y cada vez más temprano, principalmente en los dientes de leche. El inconveniente es que sigue en pié impactando los dientes permanentes.
Estas lesiones empiezan refinando el esmalte y después la dentina. Todo se ensancha hasta que el diente desaparece completamente en algunas ocasiones. En los jovenes, los incisivos se ven damnificados dado que son los primeros en ingresar en contacto con bebidas azucaradas.
El azúcar está en todas partes
Lamentablemente, es complicado evadir el azúcar en nuestra vida día tras día. Bebidas dulces, comidas preparadas, verduras enlatadas y galletas: los fabricantes no dudan en añadir azúcar en productos que no deberían contenerlo.
Inclusive está en productos rápidos. Más allá de que las consecuencias en el cerebro, el hígado y el corazón son bien conocidas, comunmente tendemos a olvidar que los dientes tienen la posibilidad de verse damnificados.


